Cestode Scientific Name
| Species ID | 6268 |
|---|---|
| Order | Cyclophyllidea |
| Family | Anoplocephalidae |
| Subfamily | Anoplocephalinae |
| Genus | Ectopocephalium |
| Species | abei |
| Authority | Rausch & Ohbayashi, 1974 |
| Taxonomic Status | Valid |
| Valid Name | |
| Synonyms | |
| Genus Record | No |
| Type Species | Yes |
| Verified | Yes |
| Verified By | V. K. Haukisalmi |
| Citation(s) |
Rausch, R. L. and M. Ohbayashi. 1974. On some anoplocephaline cestodes from pikas, Ochotona spp. (Lagomorpha), in Nepal, with the description of Ectopocephalium abei gen. et sp. n. Journal of Parasitology 60: 596-604. (4966) Download PDF |
| Redescription | |
| Scientific Name Notes |
Record Data
| Date (MM/DD/YYYY) | Action | User Name |
|---|---|---|
| 06/07/2010 | Created | V. K. Haukisalmi |
| 08/21/2014 | Modified | |
| 04/12/2021 | Modified | V. Haukisalmi |
| 09/06/2022 | Modified | V. Haukisalmi |
Type Host
| Host Class | Mammalia | ||||||
|---|---|---|---|---|---|---|---|
| Host Order | Lagomorpha | ||||||
| Host Family | Ochotonidae | ||||||
|
Type Host (Literal) |
|
||||||
|
Type Host (Valid) |
|
||||||
| Additional Host(s) | |||||||
| Site in Host | small intestine | ||||||
| Host Notes |
Type Locality
| Country | Nepal |
|---|---|
| Body of Water | |
| Island(s) | |
| City/Region | Gosainkun |
| Coordinates | |
| DD Latitude | |
| DD Longitude | |
| Additional Localities | |
| Locality Notes |
Specimens
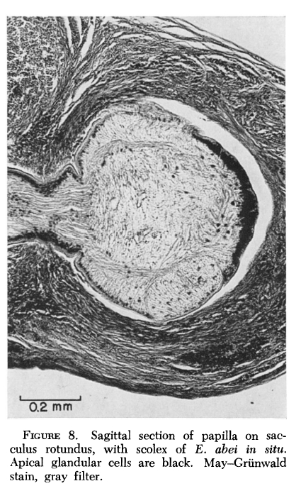
| Type Material | Type: A permanently mounted strobila has been deposited in the USNM Helm. Coll., No. 72898. Also deposited were cestodes preserved in situ in the sacculus rotundus of 0. roylei, Thare Pati,Nepal (elev. 3,530 m ), No. 72899. |
|---|---|
| Total Number of Type Specimens | |
| Voucher Material | |
| Specimen Notes |
Data are given as in original description unless otherwise indicated.
Global Cestode Database


