Cestode Scientific Name
| Species ID | 5816 |
|---|---|
| Order | Bothriocephalidea |
| Family | Bothriocephalidae |
| Subfamily | |
| Genus | Plicocestus |
| Species | janickii |
| Authority | (Markowski, 1971) Kuchta, Scholz & Bray, 2008 |
| Taxonomic Status | Valid |
| Valid Name | |
| Synonyms | Bothriocephalus janickii Markowski, 1971 |
| Genus Record | No |
| Type Species | Yes |
| Verified | No |
| Verified By | |
| Citation(s) |
Markowski, S. 1971. On some species of parasitic worms in the ‘discovery’ collections obtained in the years 1925-1936. Bulletin of the British Museum (Natural History) Zoology 21(3): 51-65. (4574) Download PDFKuchta, R., T. Scholz, and R. A. Bray. 2008. Revision of the order Bothriocephalidea Kuchta, Scholz, Brabec & Bray, 2008 (Eucestoda) with amended generic diagnoses and keys to families and genera. Systematic Parasitology 71: 81-136. (4553) Download PDF |
| Redescription | |
| Scientific Name Notes |
Record Data
| Date (MM/DD/YYYY) | Action | User Name |
|---|---|---|
| 03/03/2010 | Created | B. Barbeau |
| 07/02/2014 | Modified | |
| 01/26/2016 | Modified | K. Mojica |
| 01/15/2021 | Modified | R. Kuchta |
| 06/29/2021 | Modified | R. Kuchta |
Type Host
| Host Class | Actinopterygii | ||||||
|---|---|---|---|---|---|---|---|
| Host Order | Perciformes | ||||||
| Host Family | Coryphaenidae | ||||||
|
Type Host (Literal) |
|
||||||
|
Type Host (Valid) |
|
||||||
| Additional Host(s) | |||||||
| Site in Host | stomach | ||||||
| Host Notes |
Type Locality
| Country | |
|---|---|
| Body of Water | Atlantic Ocean |
| Island(s) | |
| City/Region | South Atlantic Ocean |
| Coordinates | 24°05‘S, 15°46‘E |
| DD Latitude | -24.083 |
| DD Longitude | -15.766 |
| Additional Localities | |
| Locality Notes | - the coordinates given in original paper (24°05‘S, 15°46‘N) must be an error in the location and should read long. 15°46 'W, which would be in the south central Atlantic |
Specimens
| Type Material | -BMNH No. 1970.7.30.51-55 (holotype) |
|---|---|
| Total Number of Type Specimens | -some 21 fragments and eight complete worms were examined |
| Voucher Material | |
| Specimen Notes |
Data are given as in original description unless otherwise indicated.
Global Cestode Database
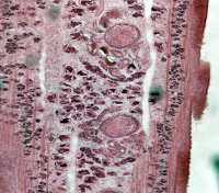
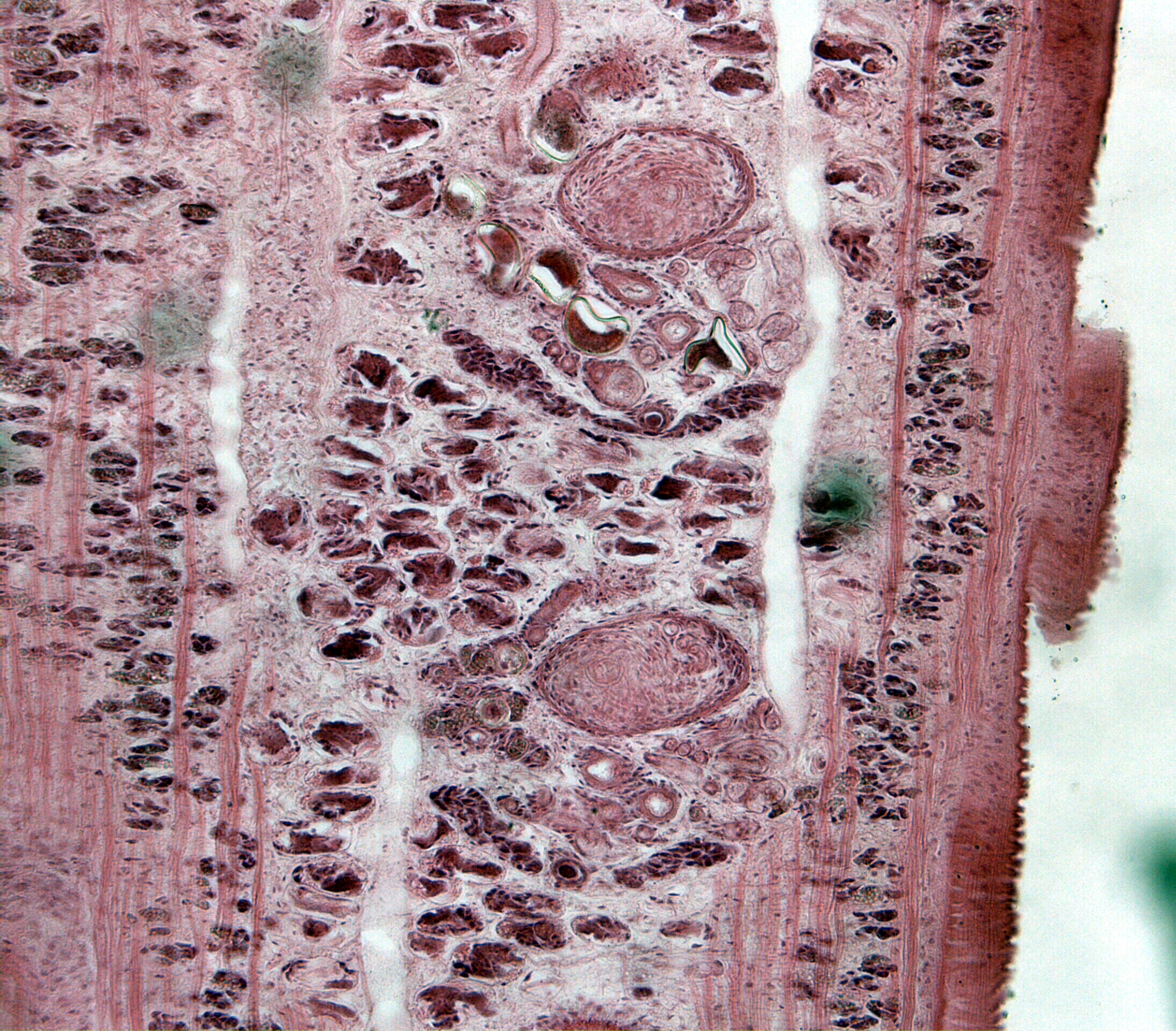
Fig. 1. Bothriocephalus janickii sp. nov.: scolex. Fig. 2. Bothriocephalus janickii sp. nov.: cross-section of the segment showing cirrus-sac. Fig. 3. Bothriocephalus janickii sp. nov.: cross-section of the segment showing tocostoma.
Fig. 4. Bothriocephalus janickii sp. nov.: cross-section of the segment showing the arrangement of the longitudinal muscles and vitellaria. Fig. 5. Bothriocephalus janickii sp. nov.: horizontal section of the segment.
Kuchta et al. 2008
Kuchta et al. 2008
BMNH No. 1970.7.30.51-55 (holotype)


