Cestode Scientific Name
| Species ID | 5774 |
|---|---|
| Order | Onchoproteocephalidea II |
| Family | |
| Subfamily | |
| Genus | Acanthobothrium |
| Species | marymichaelorum |
| Authority | Twohig, Caira and Fyler, 2008 |
| Taxonomic Status | Valid |
| Valid Name | |
| Synonyms | |
| Genus Record | No |
| Type Species | No |
| Verified | No |
| Verified By | |
| Citation(s) |
Twohig, M. E., J. N. Caira, and C. A. Fyler. 2008. Two new cestode species from the dwarf whipray, Himantura walga (Batoidea: Dasyatidae), from Borneo, with comments on site and mode of attachment. Journal of Parasitology 94(5): 1118-1127. (4525) Download PDF |
| Redescription | |
| Scientific Name Notes | The family name does not included in the original publication. It has been guessed by the operator. |
Record Data
| Date (MM/DD/YYYY) | Action | User Name |
|---|---|---|
| 11/21/2009 | Created | Georgiev |
| 01/16/2013 | Modified | |
| 06/07/2015 | Modified | T. Ruhnke |
| 06/09/2015 | Modified | J. Caira |
| 01/22/2016 | Modified | K. Mojica |
| 09/01/2016 | Modified | K. Jensen |
| 05/15/2022 | Modified | J. Caira |
| 10/17/2022 | Modified | K. Jensen |
Type Host
| Host Class | |||||||
|---|---|---|---|---|---|---|---|
| Host Order | Myliobatiformes | ||||||
| Host Family | Dasyatidae | ||||||
|
Type Host (Literal) |
|
||||||
|
Type Host (Valid) |
|
||||||
| Additional Host(s) | none | ||||||
| Site in Host | spiral intestine | ||||||
| Host Notes |
Type Locality
| Country | Malaysia (Sarawak) |
|---|---|
| Body of Water | |
| Island(s) | Borneo |
| City/Region | Off Sematan |
| Coordinates | |
| DD Latitude | 01!48 |
| DD Longitude | 109!46 |
| Additional Localities | Off Mukah (02!54"N, 112!06"E), Sarawak, |
| Locality Notes |
Specimens
| Type Material | Holotype: MZUM(P) no. 699(H). Paratypes: MZUM(P) nos. 700(P)-702(P); SBC no. P-00028; USNPC no. 100700; LRP nos. 4162-4164 (whole mount), nos. 4167-4168 (cross sections). |
|---|---|
| Total Number of Type Specimens | Whole mounts of 11 mature worms, cross sections of mature proglottids of 2 worms, and 6 scolices examined with SEM |
| Voucher Material | |
| Specimen Notes |
Data are given as in original description unless otherwise indicated.
Global Cestode Database
FIGURES 1–6. Line drawings of Acanthobothrium marymichaelorum n. sp. (1) Scolex. (2) Hooks. (3) Mature proglottid. (4) Vas deferens mature proglottid in which testes have atrophied. (5) Whole worm. (6) Cross section through ovary anterior to isthmus. O = ovary; T = testis; V = vitelline follicle; VED = ventral excretory duct.
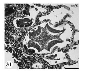
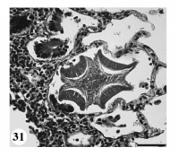
Fig. 31. (31) Histological section of scolex of Acanthobothrium marymichaelorum n. sp. attached within mucosal crypt in chamber 8; note infected crypt is enlarged (compare with
Fig. 28). Scale Bar = 50 µm
FIGURES 7–11, 28. Scanning electron micrographs of Acanthobothrium marymichaelorum n. sp. (7) Scolex; numbers indicate where Figs. 8–11 were taken. (8) Cephalic peduncle surface. (9) Proximal bothridial surface. (10) Distal surface of anterior loculus of bothridium. (11) Boundary
between proximal and distal bothridial surfaces. (28) SEM of scolex of Acanthobothrium marymichaelorum n. sp. attached within
mucosal crypt in chamber 7; note infected crypt is enlarged.(Figs. 8–11), 20 µm; (Fig. 28), 100µm. 

