Cestode Scientific Name
| Species ID | 3734 |
|---|---|
| Order | Spathebothriidea |
| Family | Acrobothriidae |
| Subfamily | |
| Genus | Didymobothrium |
| Species | rudolphii |
| Authority | (Monticelli, 1890) Nybelin, 1922 |
| Taxonomic Status | Valid |
| Valid Name | |
| Synonyms | Diplocotyle rudolphii Monticelli, 1890 |
| Genus Record | No |
| Type Species | Yes |
| Verified | Yes |
| Verified By | T. Scholz |
| Citation(s) |
Monticelli, F. S. 1890. Note elmintologiche. Bollettino della Societa dei Naturalisti in Napoli 4(2): 189-208. (4193) Download PDFNybelin, O. 1922. Anatomisch-systematische Studien über Pseudophyllideen. Göteborgs kungl. Vetenskaps-och Vitterhets-Samhälles Handlingar, XXVI, Med bihang 41: 1-228. (670) Download PDF |
| Redescription |
Kuchta, R.,R. Pearson, T. Scholz, O. Ditrich, and P. D. Olson. 2014. Spathebothriidea: survey of species, scolex and egg morphology, and interrelationships of a non-segmented, relictual tapeworm group (Platyhelminthes: Cestoda). Folia Parasitologica 61(4): 331–346. (6420) Download PDF |
| Scientific Name Notes | Kuchta et al. (2014) reviewed the whole order, assessed the phylogenetic relationships of all genera and provided a survey of all valid species with new data on egg and scolex morphology and surface ultrastructure (i.e. microtriches). |
Record Data
| Date (MM/DD/YYYY) | Action | User Name |
|---|---|---|
| 11/30/-0001 | Created | K. Catanese |
| 08/20/2014 | Modified | |
| 02/02/2016 | Modified | K. Mojica |
| 07/28/2016 | Modified | B. Barbeau |
| 09/08/2016 | Modified | B. Barbeau |
Type Host
| Host Class | |||||||
|---|---|---|---|---|---|---|---|
| Host Order | |||||||
| Host Family | |||||||
|
Type Host (Literal) |
|
||||||
|
Type Host (Valid) |
|
||||||
| Additional Host(s) | |||||||
| Site in Host | |||||||
| Host Notes |
Type Locality
| Country | |
|---|---|
| Body of Water | |
| Island(s) | |
| City/Region | |
| Coordinates | |
| DD Latitude | |
| DD Longitude | |
| Additional Localities | |
| Locality Notes |
Specimens
| Type Material | |
|---|---|
| Total Number of Type Specimens | |
| Voucher Material | |
| Specimen Notes |
Data are given as in original description unless otherwise indicated.
Global Cestode Database
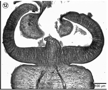
Figs. 11–14. Spathebothriidean cestodes; photomicrographs of histological sections through the scolex.
Fig. 12. Didymobothrium rudolphii from Pegusa lascaris, off Banyuls-sur-Mer, Mediterranean Sea, France. 

