Line Drawing 1
 From Ivanov & Campbell, 2002. FIGURES 21-26. Notomegarhynchus shetlandicum n. comb. 21. Scolex, scale bar = 100µm. 22. Complete worm, scale bar = 3mm. 23. Mature segment, scale bar = 200µm. 24. Detail... MoreFrom Ivanov & Campbell, 2002. FIGURES 21-26. Notomegarhynchus shetlandicum n. comb. 21. Scolex, scale bar = 100µm. 22. Complete worm, scale bar = 3mm. 23. Mature segment, scale bar = 200µm. 24. Detail of terminal genitalia, scale bar = 100µm. 25. Immature segment, scale bar = 200µm. 26. Gravid segment, scale bar = 200µm. |
Line Drawing 2
 From Ivanov & Campbell, 2002. FIGURES 27-29. Notomegarhynchus shetlandicum n. comb. 27. Cross section of mature segment at level of testes anterior to cirrus sac. 28. Cross section of mature segment a... MoreFrom Ivanov & Campbell, 2002. FIGURES 27-29. Notomegarhynchus shetlandicum n. comb. 27. Cross section of mature segment at level of testes anterior to cirrus sac. 28. Cross section of mature segment at level of cirrus sac. 29. Cross section of mature segment at level of ovarian isthmus. Scale bar = 200µm. Abbreviations: C, cortex; CS, cirrus sac; DED, dorsal excretory duct; LM, longitudinal musculature; M, medulla; O, ovary; T, testis; V, vagina; VED, ventral excretory duct; VF, vitelline follicles; UD, uteroduct. |
Photo Micrograph
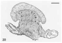
 From Ivanov & Campbell, 2002. Fig. 20. Notomegarhynchus shetlandicum n. comb. Longitudinal section through a relaxed scolex, scale bar = 200µm. |
Scanning Electron Micrograph
 From Ivanov & Campbell, 2002. FIGURES 30-33. Scanning electron micrographs of Notomegarhynchus shetlandicum n. comb. 30. Scolex, scale bar = 120µm. 31. Detail of acetabula, scale bar = 100µm. 32. stal... MoreFrom Ivanov & Campbell, 2002. FIGURES 30-33. Scanning electron micrographs of Notomegarhynchus shetlandicum n. comb. 30. Scolex, scale bar = 120µm. 31. Detail of acetabula, scale bar = 100µm. 32. stalk surface showing spiniform microtriches, scale bar = 1µm. 33. Detail of anterior margin of acetabulum, note absence of pit, scale bar = 50µm. |