Cestode Scientific Name
| Species ID | 2921 |
|---|---|
| Order | Onchoproteocephalidea II |
| Family | |
| Subfamily | |
| Genus | Acanthobothrium |
| Species | quadripartitum |
| Authority | Williams, 1968 |
| Taxonomic Status | Valid |
| Valid Name | |
| Synonyms | |
| Genus Record | No |
| Type Species | No |
| Verified | No |
| Verified By | |
| Citation(s) |
Williams, H. H. 1968. Acanthobothrium quadripartitum sp. nov. (Cestoda: Tetraphyllidea) from Raja naevus in the North Sea and English Channel. Parasitology 58: 105-110. (490) Download PDF |
| Redescription | |
| Scientific Name Notes |
Record Data
| Date (MM/DD/YYYY) | Action | User Name |
|---|---|---|
| 09/09/2006 | Created | K. Jensen , R. Tracy |
| 02/04/2015 | Modified | |
| 06/07/2015 | Modified | T. Ruhnke |
| 06/09/2015 | Modified | J. Caira |
| 01/10/2016 | Modified | J. Caira |
| 01/22/2016 | Modified | K. Mojica |
| 09/01/2016 | Modified | K. Jensen |
Type Host
| Host Class | |||||||
|---|---|---|---|---|---|---|---|
| Host Order | Rajiformes | ||||||
| Host Family | Rajidae | ||||||
|
Type Host (Literal) |
|
||||||
|
Type Host (Valid) |
|
||||||
| Additional Host(s) | |||||||
| Site in Host | spiral intestine | ||||||
| Host Notes |
Type Locality
| Country | England |
|---|---|
| Body of Water | North Sea, English Channel |
| Island(s) | |
| City/Region | |
| Coordinates | |
| DD Latitude | |
| DD Longitude | |
| Additional Localities | additional localities: English Channel |
| Locality Notes |
Specimens
| Type Material | |
|---|---|
| Total Number of Type Specimens | 25 (more found) |
| Voucher Material | |
| Specimen Notes |
Data are given as in original description unless otherwise indicated.
Global Cestode Database
FIGURES 1-6. Acanthobothrium quadripartitum n. sp. 1. Scolex and strobila, relative to depth of villi of mucosa. 2. Detached proglottid. 3. Bothridium in lateral view. 4. Hooks and bothridium. 5. Cirrus spines. 6. Egg.
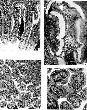
FIGURES 1-4. Acanthobothrium quadripartitum n. sp. 1. Longitudinal section of immature worm between villi of mucosa. 2. Longitudinal section through bothridium attached to villus. 3. Transverse sections through 4 scoleces attached to villi. 4. Transverse section of scolex showing attachment to four villi. 

