Cestode Scientific Name
| Species ID | 1794 |
|---|---|
| Order | Lecanicephalidea |
| Family | Polypocephalidae |
| Subfamily | |
| Genus | Discobothrium |
| Species | caribbensis |
| Authority | Gardner & Schmidt, 1984 |
| Taxonomic Status | Synonym |
| Valid Name | Polypocephalus caribbensis (Gardner & Schmidt, 1984) Jensen, 2005 |
| Synonyms | |
| Genus Record | No |
| Type Species | No |
| Verified | No |
| Verified By | |
| Citation(s) |
Gardner, S. L. and G. D. Schmidt. 1984. Discobothrium caribbensis sp. n., a lecanicephalidean cestode from a yellow-spotted stingray, Urolophus jamaicensis, in Jamaica. Journal of Parasitology 70: 303-304. (201) Download PDF |
| Redescription | |
| Scientific Name Notes | Jensen (2005) moved D. caribbensis to Polypocephalus. |
Record Data
| Date (MM/DD/YYYY) | Action | User Name |
|---|---|---|
| 09/09/2006 | Created | K. Jensen , R. Tracy |
| 02/11/2010 | Modified | |
| 07/29/2015 | Modified | K. Jensen |
| 01/08/2016 | Modified | K. Jensen |
| 06/09/2016 | Modified | K. Jensen |
Type Host
| Host Class | |||||||
|---|---|---|---|---|---|---|---|
| Host Order | Myliobatiformes | ||||||
| Host Family | Urotrygonidae | ||||||
|
Type Host (Literal) |
|
||||||
|
Type Host (Valid) |
|
||||||
| Additional Host(s) | |||||||
| Site in Host | spiral intestine | ||||||
| Host Notes |
Type Locality
| Country | Jamaica |
|---|---|
| Body of Water | Discovery Bay |
| Island(s) | |
| City/Region | |
| Coordinates | |
| DD Latitude | |
| DD Longitude | |
| Additional Localities | |
| Locality Notes |
Specimens
| Type Material | USNPC No. 77924 (holotype) USNPC No. 77925 |
|---|---|
| Total Number of Type Specimens | 5 |
| Voucher Material | |
| Specimen Notes |
Data are given as in original description unless otherwise indicated.
Global Cestode Database
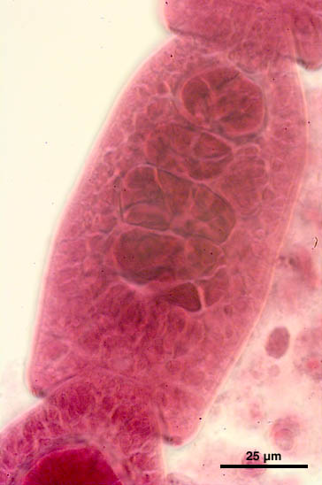
FIGURES 1-3. Discobothrium caribbensis n. sp. 1. Mature segment. 2. Scolex. 3. Entire worm.
USNPC No. 77925, paratype slide
USNPC No. 77925, scolex of paratype
USNPC No. 77925, subtermianl segment of paratype 

