Cestode Scientific Name
| Species ID | 14809 |
|---|---|
| Order | Lecanicephalidea |
| Family | Polypocephalidae |
| Subfamily | |
| Genus | Flapocephalus |
| Species | rudkinorum |
| Authority | Hanselman & Jensen, 2025 |
| Taxonomic Status | Valid |
| Valid Name | |
| Synonyms | |
| Genus Record | No |
| Type Species | No |
| Verified | Yes |
| Verified By | K. Hanselman |
| Citation(s) |
Hanselman, K. M., R. Gobiraj, and K. Jensen. 2025. Revision of the Lecanicephalidean Genus Flapocephalus Deshmukh, 1979 (Eucestoda) from Cowtail Rays (Genus Pastinachus Rüppell) (Myliobatiformes: Dasyatidae Jordan and Gilbert) with the Description of Four New Species. Journal of Parasitology 111(5): 582–605. (7616) Download PDF |
| Redescription | |
| Scientific Name Notes |
Record Data
| Date (MM/DD/YYYY) | Action | User Name |
|---|---|---|
| 10/06/2025 | Created | K. Hanselman |
| 10/06/2025 | Modified | K. Hanselman |
Type Host
| Host Class | |||||||
|---|---|---|---|---|---|---|---|
| Host Order | Myliobatiformes | ||||||
| Host Family | Dasyatidae | ||||||
|
Type Host (Literal) |
|
||||||
|
Type Host (Valid) |
|
||||||
| Additional Host(s) | |||||||
| Site in Host | |||||||
| Host Notes |
Type Locality
| Country | Sri Lanka |
|---|---|
| Body of Water | Indian Ocean |
| Island(s) | |
| City/Region | Point Pedro |
| Coordinates | 09°49'42.11"N, 80°14'40.22"E |
| DD Latitude | |
| DD Longitude | |
| Additional Localities | Kottaddi market (9 49041.9400N, 80 14023.9400E), Point Pedro, Sri Lanka (host specimen SL-63). |
| Locality Notes |
Specimens
| Type Material | Holotype (BRT-P 008); 2 paratypes (USNM 1456342 and 1456343); two paratypes (ww LRP 11115, sc ls and voucher LRP 11176–11186) |
|---|---|
| Total Number of Type Specimens | SEM voucher (11116) |
| Voucher Material | |
| Specimen Notes |
Data are given as in original description unless otherwise indicated.
Global Cestode Database
Figure 8. Line drawings of Flapocephalus rudkinorum Hanselman and Jensen n. sp. (A) Whole worm (holotype; BRT-P 008); arrow indicates level
of mature proglottid in C. (B) Scolex (paratype; LRP 11115). (C)Mature proglottid (holotype; BRT-P 008). (D) Terminal mature proglottid (paratype;
USNM 1456342). (E) Terminal genitalia (holotype; BRT-P 008).
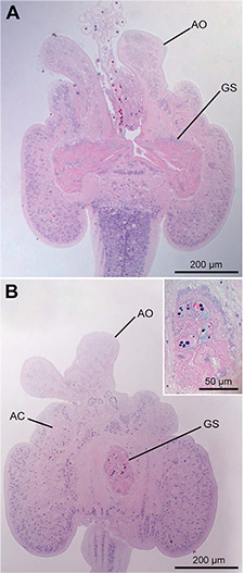
Figure 10. Light micrographs of histological sections of Flapocephalus rudkinorum Hanselman and Jensen n. sp. (A, B). (A) Scolex frontal section through center showing pair of glandular sac-like structures opening to outside at base of apical organ. (B) Scolex frontal section at level of acetabula showing 1 of 4 glandular sac-like structures; inset shows enlarged view of content of channels of glandular sac-like structure.
Figure 9. Scanning electron micrographs of Flapocephalus rudkinorum Hanselman and Jensen n. sp. (A–E). (A) Scolex; small letters indicate location of details in B, D, and E; rectangle indicates region shown in C. (B) Distal surface of apical organ, towards center. (C) Enlarged view of distal surface of apical organ. (D) Surface of scolex proper. (E) Surface of strobila 

