Cestode Scientific Name
| Species ID | 14598 |
|---|---|
| Order | Tetraphyllidea |
| Family | Clade 1 |
| Subfamily | |
| Genus | Pentaloculum |
| Species | grahami |
| Authority | Bueno & Caira, 2023 |
| Taxonomic Status | Valid |
| Valid Name | |
| Synonyms | |
| Genus Record | No |
| Type Species | |
| Verified | Yes |
| Verified By | V. Bueno |
| Citation(s) |
Bueno, V.M. and J.N. Caira. 2023. Phylogenetic relationships. host associations, and three new species of a poorly known group of "tetraphyllidean" tapeworms from elasmobranchs. Zootaxa 5254(1): 030–050. (7496) Download PDF |
| Redescription | |
| Scientific Name Notes |
Record Data
| Date (MM/DD/YYYY) | Action | User Name |
|---|---|---|
| 03/16/2023 | Created | V. Bueno |
| 03/16/2023 | Modified | V. Bueno |
| 03/17/2023 | Modified | V. Bueno |
Type Host
| Host Class | Elasmobranchii | ||||||
|---|---|---|---|---|---|---|---|
| Host Order | Orectolobiformes | ||||||
| Host Family | Parascylliidae | ||||||
|
Type Host (Literal) |
|
||||||
|
Type Host (Valid) |
|
||||||
| Additional Host(s) | |||||||
| Site in Host | spiral intestine | ||||||
| Host Notes |
Type Locality
| Country | Australia |
|---|---|
| Body of Water | Crowdy Head |
| Island(s) | |
| City/Region | New South Wales |
| Coordinates | 31°50'41.99"S, 152°45' 7.99"EE |
| DD Latitude | |
| DD Longitude | |
| Additional Localities | |
| Locality Notes |
Specimens
| Type Material | Holotype QM G240343 Paratypes QM G240344–QM G240345, LRP 10947–10949, USNM 1678892–1678893 |
|---|---|
| Total Number of Type Specimens | |
| Voucher Material | |
| Specimen Notes |
Data are given as in original description unless otherwise indicated.
Global Cestode Database
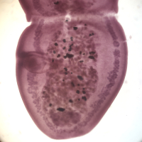
QM G240343
QM G240343
QM G240343
Subterminal proglottids QM G240343
QM G240345
QM G240345
QM G240345 

