Cestode Scientific Name
| Species ID | 14172 |
|---|---|
| Order | Phyllobothriidea |
| Family | Phyllobothriidae |
| Subfamily | |
| Genus | Scyphophyllidium |
| Species | tyleri |
| Authority | (Ruhnke, Caira & Carpenter, 2006) Caira, Jensen & Ruhnke, 2020 |
| Taxonomic Status | Valid |
| Valid Name | |
| Synonyms | Orectolobicestus tyleri Ruhnke, Caira & Carpenter, 2006 |
| Genus Record | No |
| Type Species | Yes |
| Verified | No |
| Verified By | |
| Citation(s) |
Ruhnke, T. R., J. N. Caira, and S. D. Carpenter. 2006. Orectolobicestus n. g. (Cestoda: Tetraphyllidea), with the description of five new species and the transfer of Phyllobothrium chiloscyllii to the new genus. Systematic Parasitology 65: 215-233. (4453) Download PDFCaira, J. N., K. Jensen, C. Hayes and T. R. Ruhnke. 2020. Insights from new cestodes of the crocodile shark, Pseudocarcharias kamoharai (Lamniformes: Pseudocarchariidae), prompt expansion of Scyphophyllidium and syonymization of seven phyllobothriidean genera—at last!. Journal of Helminthology (https://doi.org/10.1017/S0022149X20000036): 1–24. (7164) Download PDF |
| Redescription | |
| Scientific Name Notes |
Record Data
| Date (MM/DD/YYYY) | Action | User Name |
|---|---|---|
| 07/13/2020 | Created | B. Barbeau |
| 07/13/2020 | Modified | B. Barbeau |
| 07/15/2020 | Modified | B. Barbeau |
Type Host
| Host Class | |||||||
|---|---|---|---|---|---|---|---|
| Host Order | |||||||
| Host Family | |||||||
|
Type Host (Literal) |
|
||||||
|
Type Host (Valid) |
|
||||||
| Additional Host(s) | |||||||
| Site in Host | spiral intestine | ||||||
| Host Notes |
Type Locality
| Country | Malaysia |
|---|---|
| Body of Water | South China Sea |
| Island(s) | |
| City/Region | Off Mukah, Sarawak |
| Coordinates | |
| DD Latitude | 2.900 |
| DD Longitude | 112.100 |
| Additional Localities | |
| Locality Notes |
Specimens
| Type Material | MZUM(P) Nos. 160 (h) (holotype); MZUM(P) Nos. 161 (p) (1 paratype); LRP Nos 3874–3877 (4 paratypes); USNPC No. 97493 (3 paratypes); IMPB No. 77.32.02 (1 paratype); Remaining paratypes retained in the senior author’s collection. |
|---|---|
| Total Number of Type Specimens | 13 whole-mounted worms and 2 HMDS dried worms prepared for SEM |
| Voucher Material | |
| Specimen Notes |
Data are given as in original description unless otherwise indicated.
Global Cestode Database
Fig 1. 1. Orectolobicestus tyleri n. sp., entire holotype (MZUM(P) No. 160 (h)). Figs. 6–7 Orectolobicestus tyleri n. sp. 6. Scolex of holotype (MZUM(P) No. 160 (h)). 7. Terminal proglottid of holotype (MZUM(P) No. 160 (h)).
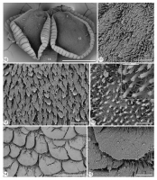
Figs. 10–15 Scanning electron micrographs of Orectilobicestus tyleri n. sp. 10. Scolex. White numbers indicate locations at which Figs. 11–14 were taken. 11. Proximal surface of bothridium, not on surface of marginal loculus. 12. Proximal surface of bothridium at marginal loculus. 13. Distal surface of bothridium; inset provides enlarged view of distal surface microtriches. 14. Scutes on anterior regions of strobila. 15. Enlarged view of scutes; note scutes composed of elongate filitriches. Scale-bars: 10, 200 µm; 11–13,15, 2 µm; 13 (inset), 1 µm; 14, 20 µm


