Line Drawing 1
 FIGURES 15-20. Phyllobothrium orectolobi n. sp. 15. Scolex. 16. Gravid segment, ventral view. 17. Egg capsule. 18. Male reproductive system, ventral view, showing arrangement of collecting ducts.... MoreFIGURES 15-20. Phyllobothrium orectolobi n. sp. 15. Scolex. 16. Gravid segment, ventral view. 17. Egg capsule. 18. Male reproductive system, ventral view, showing arrangement of collecting ducts. 19. Female reproductive system, ventral view. 20. Attached scolex. Abbreviations: b, bothridium; cc, copulatory canal; cd, collecting duct; cp, cirrus pouch; gp, genital pore; mu, mucosa; mvd, median vitelline duct; o, ovary; oc, oocapt; oo, ootype; ov, oviduct; sr, seminal receptacle; sv, seminal vessicle; t, testis; u, uterus; ud, uterine duct; v, vitellaria. Scale bars: 15, 16, 20, 0.44 mm; 17, 50 µm; 18 & 19, 0.2 mm. |
Line Drawing 2
|
Photo Micrograph
|
Scanning Electron Micrograph
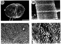
 FIGURES 23-26. Phyllobothrium orectolobi n. sp. 23. Scolex. 24. Anterior strobila; note “scaly” appearance. 25. Attaching surface of bothridium; note microvilli. 26. Posterior surface of bothridi... MoreFIGURES 23-26. Phyllobothrium orectolobi n. sp. 23. Scolex. 24. Anterior strobila; note “scaly” appearance. 25. Attaching surface of bothridium; note microvilli. 26. Posterior surface of bothridium; note blade-like projections. Scale bars: 23, 200 µm; 24, 20 µm; 25, 10 µm; 26, 4 µm. |